一戸歯科医院について
歯科医院コンセプト
一戸歯科医院のこだわり
医療情報取得加算を算定しています
新型コロナウィルス対策
採用情報
床矯正|歯並び・噛み合わせ
床矯正とは
子供の歯並びと矯正時期
大人の歯科矯正・床矯正について
床矯正のステップ
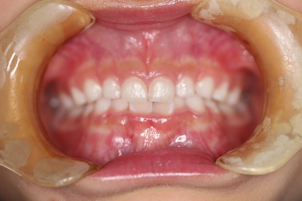
床矯正症例
床矯正料金
矯正相談会
入れ歯
入れ歯ができるまで
入れ歯料金
よくある質問
予防歯科
予防プログラム
なぜ予防が必要か
一般歯科
相談会
診療時間
WEB予約
歯科コラム
HOME
IMG_0742